一般歯科
患者様目線で「自分や自分の家族が受けたい歯科治療」を提供します
患者様にとって「信頼できる歯医者」であるために

お口の中の状態を詳しく診査、診断する為に歯周病の検査やレントゲン撮影などを行い、患者様に丁寧に説明します。じっくりとご希望を伺い、患者様一人ひとりにご納得頂ける治療方針を導いていきます。必要であればご家族へのご説明なども行いますので、お気軽にご相談ください。治療においては歯を残す事を第一に心がけ、その為にメインテナンスの重要性をお伝えします。
当院の歯科治療の特長
-
01痛みに配慮した治療
麻酔の針のチクリとする痛みが苦手な方のために、麻酔の前に表面麻酔を塗って痛みを抑えます。その後の麻酔も、効いていることを確かめてから治療に入りますのでご安心ください。
-
02拡大視野での確かな治療
肉眼で見るよりも大きな拡大視野を確保できる拡大鏡を用いて、小さなむし歯や歯のひび割れ等を確認しながら治療にあたります。歯の根の治療を行う際も、手探りではなく拡大視野で確認しながら治療します。
-
032種類の歯科用レーザーの使用
当院ではYAGレーザーとCO2レーザーの二種類を併用し、歯科治療に役立てています。
レーザーを使うと、切開時の痛みや出血が抑えられて回復が早くなるのがメリットです。それぞれの特性を考えて、むし歯・抜歯・歯周病治療・口内炎の治療などに活用し、患者様の負担を抑えています。
一般歯科について

一般歯科は、むし歯や根管(根っこ)、歯周病治療などに対応している診療科目です。当院は院内に歯科技工室があり、専属の歯科技工士が詰め物・被せ物・入れ歯の作製を行えます。入れ歯の作製を行える点が強みで、細やかなご要望を汲み取ることができます。
また、治療後のメインテナンスに関しては、予防処置に特化した歯科衛生士と連携し、生涯に渡って健康な歯を維持するためのサポートを行っていきます。
もしも、歯周外科、再生治療、インプラント治療など一般歯科では対応が難しい場合は、適切なタイミングで各専門医と連携し、協力して治療を進められるのも特徴です。
むし歯治療
むし歯の進行と治療法
C0初期症状が見られる要観察歯

むし歯の一歩手前の状態です。むし歯菌の出す酸によって歯の表面が脱灰し、白く濁っています。痛みなどの自覚症状はなく、穴も空いていないので外から見てもむし歯だとなかなか気づきません。
- 主な治療方法
- 丁寧なブラッシングと歯科医院でのフッ素とキシリトールを組み合わせて、再石灰化を促していきます。
C1エナメル質のむし歯

初期のむし歯です。歯の表面にあるエナメル質が酸で溶けています。もし穴が空いていた場合は、一気に症状が進行するのが特徴です。
- 主な治療方法
- 細菌に感染した部位を最小限削っていきます。その後、削った部分に合成樹脂(コンポジットレジン)を入れるのが基本的な治療です。
C2象牙質のむし歯

象牙質まで細菌感染が及んでいる状態です。象牙質の中には「歯髄」と呼ばれる、神経や血管が通っている部分があるので、進行度合いによっては痛みや知覚過敏が生じます。
- 主な治療方法
- むし歯の部分を削った後に、合成樹脂(コンポジットレジン)を充填、もしくは金属やセラミックの詰め物(インレー)を詰めていくのが一般的です。
C3歯髄(神経)のむし歯

歯髄にまで細菌感染が起きている状態です。この状態を「歯髄炎」と呼びます。歯髄の中には神経や血管があるため、ズキズキと激しく痛むのが特徴です。
- 主な治療方法
- 細菌に感染した組織を丁寧に取り除いてから、歯の根の中を丁寧に消毒し、薬剤で充填。その後、かぶせ物(クラウン)を被せていきます。
C4歯の根まで達した重度のむし歯

歯根より上の部分が完全に溶けた状態です。神経が失われているので、痛みが治まっている可能性もありますが、細菌自体は残っています。そのため、歯根の先に膿が溜まり、顎の骨まで細菌に感染するリスクが考えられます。
- 主な治療方法
- ほとんどのケースにおいて、抜歯を行うのが基本的な治療方針です。その後、ブリッジ・入れ歯・インプラントといったかぶせ物や補綴(ほてつ)物で歯の機能を回復していきます。
歯周病治療

歯周病の治療計画を正確に作成するためには、事前の精密検査が必要不可欠です。そのため、レントゲン撮影、歯周ポケットの測定、歯の動揺度などをチェックし、歯周病の進行状態を把握します。
その後、患者様一人ひとりのお口の状況をもとに歯周基本治療を進めていくのが基本的な流れです。歯周基本治療によって、歯ぐきの状態が安定したら定期的なメインテナンスに移行します。ただし、検査の結果、重度の歯周病だった場合は最初から歯周外科手術をご提案する場合もあります。
入れ歯(義歯)の作製・調整

当院は院内に技工室があり、入れ歯作製に携わる歯科技工士が在籍しているのが強みです。患者様のご要望を丁寧に汲み取り、院内の技工士と密に連携を取ることで、一人ひとりのお口に合った入れ歯を提供いたします。
フィット感に優れたやわらかい入れ歯や外から金具が見えにくいタイプの入れ歯をご希望の場合は、オーダーメイドの入れ歯をご提案することも可能です。「他院で作ってもらった入れ歯がなかなか合わない」「初めて作る入れ歯だからよく噛める入れ歯を作りたい」などのお悩みやご要望をお持ちの方は当院までお気軽にご相談ください。
当院の提供する入れ歯(義歯)の種類
当院では、患者様のご希望に合わせて、数種類の入れ歯をご用意しています。保険適用のものから自費治療のものまで様々ですが、どの義歯を作製する際にも、熟練の歯科技工士と歯科医師が協力して、精密で使いやすい入れ歯を作製します。
レジン床義歯

ピンク色の部分はアクリルレジン(プラスチック)で出来ています。患者様のお口の形に合うように少しずつ調整しながら作製します。
保険適用で安価に作る事が出来るため、多くの患者様に選ばれます。
| 治療期間 | 約1か月~2か月(週に1回通院と仮定) |
|---|---|
| 治療回数 | 5回程度 |
-
メリット
- 壊れたときに修理しやすい
- 保険適用のため費用が安い
-
デメリット
- 厚みがあるため違和感が強い
- 食事の際に食べ物の感覚が伝わりづらい
- プラスチック製のため、壊れやすい
金属床義歯

粘膜に触れる部分に金属を使用しています。そのため、薄く作製しても耐久力に優れています。またプラスチックに比べると、熱伝導率が高いため、食べ物や飲み物の温かさを実感しやすくなります。
| 治療期間 | 約2か月(週に1回通院と仮定) |
|---|---|
| 治療回数 | 5回程度 |
-
メリット
- 保険診療のプラスチック(レジン)より頑丈で、薄く加工できる
- 金属を土台に使うため、頑丈な義歯を作製でき、しっかり噛める
- 金属から熱が伝わり、患者様が味覚を感じやすくなることで、より食事を楽しめるようになる
-
デメリット
- 自費診療になるため、保険診療に比べ費用がかかる
- 金属アレルギーをお持ちの患者様は使用できない可能性がある
- 素材に重みがあるため、金属床を装着した際に違和感を覚える場合がある
インプラントオーバーデンチャー

複数のインプラント体を埋め込み、インプラントを支えにして入れ歯を固定する方法です。骨とインプラント体が結合した後に入れ歯を装着するため、噛み心地に優れています。インプラントをすべて入れるよりも費用がリーズナブルです。
| 治療期間 | 約5か月~10か月 |
|---|---|
| 治療回数 | 10回程度 |
-
メリット
- 入れ歯を金具や磁石で支える構造なので、「しっかり安定する」、「食べ物をよく噛めるようになる」、といった効果が期待できる
- 入れ歯を固定させるためのインプラントが、比較的少なくて済む(2~4本)ことから、患者様の治療費を抑えられる可能性がある
-
デメリット
- 保険が適用できないため自費診療となる
- 手術が必要なので、患者様の体力に負担をかける可能性がある
- インプラント手術と入れ歯の製作が必要になるので、治療が長期に渡るケースがある
入れ歯(義歯)料金表
-
レジン床義歯保険適用
-
金属床義歯(1床)¥250,000~¥800,000
コバルトクロム合金¥350,000
チタン合金¥450,000
金合金¥800,000※ 使用する金属の種類により価格が異なります
-
インプラントオーバーデンチャー(インプラント2本使用の場合)¥660,000
※ インプラント2本使用の場合
※ インプラントを1本追加使用する場合、¥220,000追加となります
子どもの歯科治療(小児歯科)

歯科医院に限らず、子どもは初めての場所を本能的に怖がる傾向があります。その状態で無理に治療をされると、歯科医院がますます嫌な場所になってしまうのは当然のことです。
そこで当院では、歯科医院を怖い場所から、楽しくおしゃべりできる場所にすることを心がけています。緊急時でない限りは、すぐに治療をせず、話し合ったり、治療に使う道具に触ってもらったりします。成長してからも気軽に歯科医院に通っていただけるよう、お子さんの不安を取り除いてから治療を進めるのが当院の特徴です。
初めての受診はいつから?

お子さんをはじめて歯科医院に連れて行く目安は、歯科医院によって考えが異なります。当院では主に歯が生えたときの来院をご提案しています。この時期に歯科医院にお越しいただければ、歯が悪くなる前に、むし歯を防ぐ考えをお伝えしたり、お口の状態をチェックしたりできます。
また3~4カ月に一度の頻度で、歯質を強くするフッ素塗布などを行うこともあります。乳歯は歯質が弱いため、定期的にフッ素塗布を行うことは効果的なむし歯予防に繋がります。
子どもの歯列育成

矯正治療のなかでも、小児期の歯や顎の成長を利用して、歯並びを整える考えを歯列育成と呼びます。
成人矯正と異なり、歯の土台にアプローチできるので、顎の正常な発育を継続的に管理することが可能です。歯列育成はタイミングが大切です。早すぎても遅すぎても駄目なので、早めにお越しいただければ、治療を始める適切な時期をご提案できます。まずは歯並びのチェックだけでも問題ありません。お気軽にご相談ください。
顎関節症の治療

何らかの要因で顎の関節に負荷が積み重なると、顎が痛んだり、お口が開きにくくなったりします。このような症状を顎関節症と呼び、ひどいときには肩こり、頭痛、めまいなど体全体にも悪影響を及ぼす恐ろしい疾患です。「顎を動かすと関節からゴキゴキ、コリコリといった音が鳴る」「朝起きると顎が疲れていて頭が痛い」「大きく口を開けられない」などの症状があれば顎関節症の疑いがあります。放置すると症状が悪化する可能性もあるので、早急にマウスピースを利用した治療を行いましょう。
当院では、顎関節症の治療のための専用の装置を作製します。お困りの際はご相談ください。
審美歯科治療

歯科治療には、「むし歯治療」「歯周病治療」のような機能的な面(噛む機能の回復)と、「詰め物・被せ物」などの審美的な面(見た目の美しさ)を追求する側面があります。
当院の審美歯科治療では、美しさという観点と「よく噛める」という機能的な観点、その両方を満たす治療をご提案します。 特に、銀歯を自然な白い歯に変える「セラミック治療」や、歯そのものの色を明るくする「ホワイトニング」に力を入れています。
こんなお悩みありませんか?
- 笑った時の銀歯が気になる
- 治療するなら、より自然で美しい歯にしたい
- 歯の黄ばみがコンプレックスになっている
ひとつでも当てはまる方は当院までご相談ください。
当院のセラミック治療
セラミックは、見た目が天然歯に非常に近く、変色も起こしにくい優れた素材です。むし歯治療(C2, C3)で歯を削った後の詰め物(インレー)や、神経の治療(C3, C4)をした後の被せ物(クラウン)として使用します。
こんな方におすすめです
- 口を開けたときに見える銀歯を白くしたい
- 治療した歯だと気づかれない、自然な仕上がりにしたい
- 金属アレルギーが心配、または金属アレルギーの症状がある
- 歯ぐきの黒ずみが気になる(金属が溶け出すことによる変色)
- 汚れ(プラーク)が付着しにくく、むし歯の再発リスクを抑えたい
当院の強み:院内技工士との密な連携
院は院内に歯科技工室があり、熟練の歯科技工士が在籍しています。 医師と技工士が密に連携し、患者様の元の歯の色や形、噛み合わせを考慮した、オーダーメイドの精密なセラミック歯を作製することが可能です。
当院のホワイトニング
ホワイトニングは、専用の薬剤を使用して、歯を削ることなく歯そのものの色を内側から白く明るくする治療です。加齢や食生活(コーヒー、お茶、カレーなど)で黄ばんでしまった歯を、清潔感のある明るい印象に変えることができます。
こんな方におすすめです
- 歯の黄ばみが気になり、笑顔に自信が持てない
- 結婚式や面接など、大切なイベントを控えている
- 就職活動などで、印象を良くしたい
- 歯を削らずに、手軽に口元の印象を明るくしたい
当院では、歯科医院で行う「オフィスホワイトニング」と、ご自宅で行う「ホームホワイトニング」の双方に対応しております。
患者様のライフスタイルやご希望の白さに合わせて、最適なプランをご提案しますので、お気軽にご相談ください。
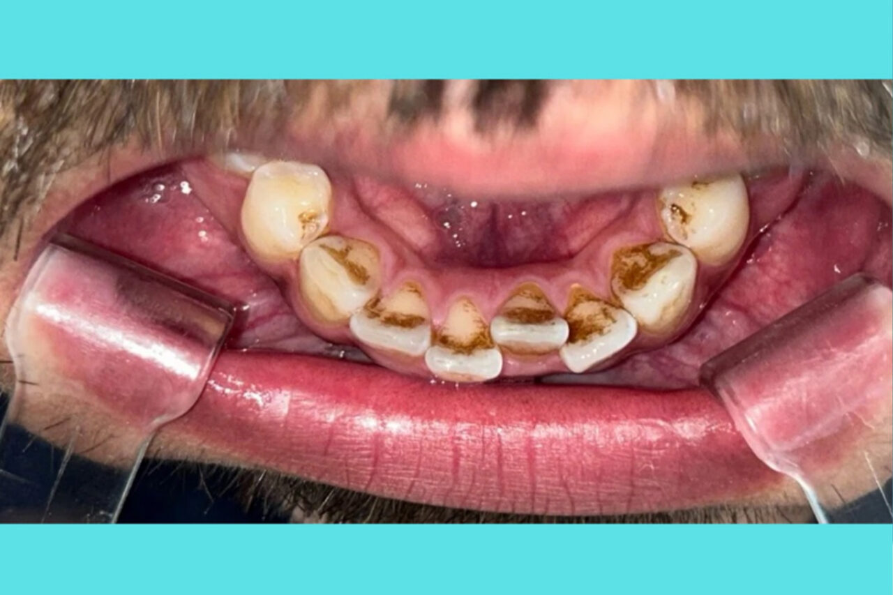
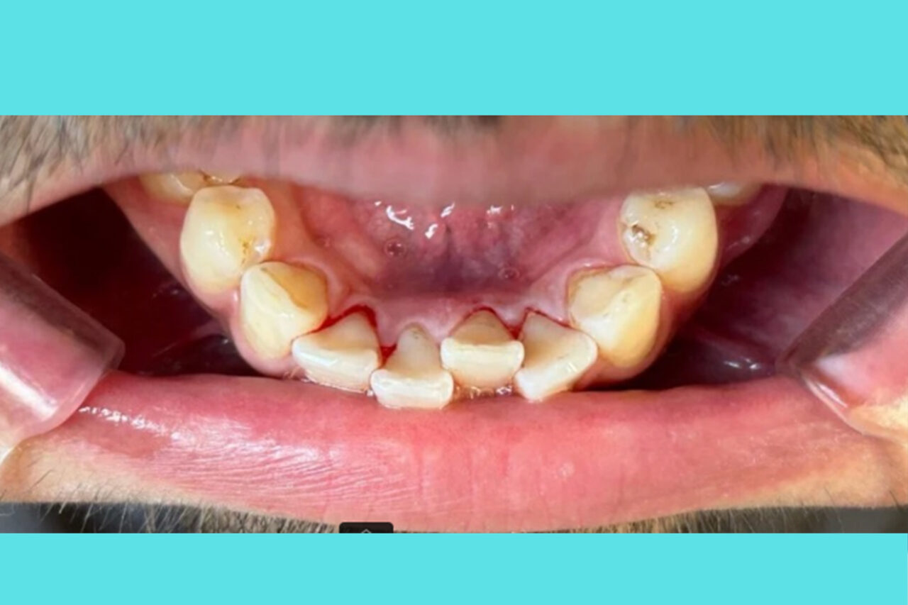
パウダーメインテナンス(エアフロー)
微細なパウダーとジェット水流を吹き付け、歯の表面や隙間の汚れを徹底的に落とすクリーニング方法です。タバコのヤニ、コーヒー・紅茶による着色汚れ(ステイン)を短時間で除去し、歯本来の白さを取り戻します。鋭利な器具を使わないため、「痛くない」「歯を傷つけない」のが最大の特徴です。
こんな方におすすめです
- タバコのヤニや、コーヒー・お茶の着色が気になる方
- 矯正治療中や、被せ物の周りをきれいにしたい方
- クリーニング時の「キーン」という音や痛みが苦手な方
- 短時間でツルツルの歯にしたい方
-
01
圧倒的な清掃力
歯ブラシでは届かない歯間や、バイオフィルム(細菌の塊)まで徹底除去。虫歯・歯周病予防にも最適です。
-
02
歯に優しく痛みが少ない
微細なパウダーを使用するため、歯のエナメル質や詰め物を傷つけません。知覚過敏の方も安心して受けていただけます。
-
03
短時間で完了
ジェット水流で一気に汚れを落とすため、従来のクリーニングよりスピーディーです。
エアフローの症例
たった一回の施術で、すっきり綺麗に生まれ変わります。
| 治療回数 | 1回 |
|---|---|
| 費用 | 5,500円 |
審美歯科治療5年保証

当院は、ガイドデントからの認定を受けています。
民間の企業が提供する「ガイドデント」という任意保険に入っていただくと、治療後の不具合や、アクシデントがあった場合でもクラウン・インレー等が5年間保証されます。認定を受けるためには審査項目(治療に関わる年数、 件数、 実績また所属学会など) をクリアする必要があり、当院は認定歯科医療機関に登録されています。
審美歯科治療に対する不安、治療後の保証に対する不安がある方には、こちらの任意保険をお勧めしております。
-
メリット
地理的な要因で主治医による治療ができない場合、紹介・斡旋などがある
治療が必要な場合、 補助が上限10万円保障される
5年間保証を継続することができる
-
デメリット
任意保険の為、治療費とは別で加入費がかかる
定期的なメンテナンスが必要
審美歯科 料金表
-
セラミック¥77,000
-
オフィスホワイトニング¥33,000
-
ホームホワイトニング¥22,000
-
デュアルホワイトニング(オフィス➕ホーム)¥55,000
-
ガイドデント加入¥22,000
歯のことでお悩みの方はぜひご相談ください
どんな患者様にも、「噛める幸せ」を感じて頂く。そのために診断力の向上に努めています。
お口の機能でお悩みがあればお気軽にご相談ください。
お電話でのご予約、お問い合わせはこちら
- 受付時間
- 9:00-13:00、14:30-18:30
※ 水土のみ8:30~診療開始 - 休診日
- 土曜午後、日曜・祝日